• 온라인 예약
  • 온라인 상담
    • 월 ~ 목 야간진료 / 공휴일 진료
쉽고 빠른 상담
연락처를 남겨주시면 빠르고
친절하게 상담해드리겠습니다.
공지사항 내용
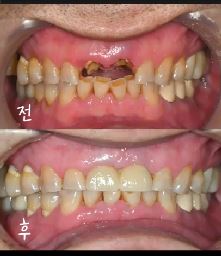
제목 앞니가 부러졌을때~ 당일 식립+임시치아 까지 일상으로 회복가능~
글쓴이 운영자
날짜 2026-01-29 [10:06] count : 118

Emotion Icon 앞니가 갑자기 부러졌을 때, 이렇게 치료했어요

 

외상으로 앞니가 부러져 급하게 내원하신 환자분의 사례입니다.

앞니는 말하거나 웃을 때 바로 보이는 부위이기 때문에

기능뿐만 아니라 심미적인 회복도 매우 중요합니다.

환자분의 상태를 꼼꼼히 확인한 후,

당일 임플란트 식립임시 보철 치료를 함께 진행하여

치료 당일에도 일상생활이 가능하도록 도와드렸습니다.

 

갑작스러운 앞니 파절이나 사고로 인한 치아 손상은

빠른 내원이 치료 결과에 큰 영향을 줍니다.

저희 병원은 환자분의 불편을 최소화하고

자연스러운 회복을 위해 최선을 다하고 있습니다.

 

※ 본 사례는 치료 전·후 사진이며,

치료 결과는 개인의 구강 상태에 따라 차이가 있을 수 있습니다.

 

 

앞니1.JPG

 

캡처.JPG

 

캡처d.JPG

 

캡처dfd.JPG

 

캡처ds.JPG

 

캡처uyi.JPG

 

앞니가 부러졌을 경우 조기 내원이 중요합니다.
본 사례는 당일 임플란트 식립 후 보철 치료를 통해
심미적·기능적 회복을 도운 경우입니다.
※ 치료 결과는 개인 상태에 따라 차이가 있을 수 있습니다.

병원소식

공지사항
번호 제목 작성자 작성일 조회
137 커피 한 잔의 여유, 실장님 감사합니다 운영자 2026-03-12 21
136 오래 방치된 #36 부위, 좁아진 골폭 → 골이식 후 임플란트 식립 증례 운영자 2026-02-28 75
135 뼈이식 최소한으로 빠르게 가능한 풀아치 임플란트, 올온X(All-on-X) 시술 안내 운영자 2026-02-28 77
134 문화생활 지원금 후기!!! 이런 병원 또 없쥬~~ 운영자 2026-02-10 89
133 앞니가 부러졌을때~ 당일 식립+임시치아 까지 일상으로 회복가능~ 운영자 2026-01-29 118
132 눈 오는 날 안전 안내 운영자 2026-01-24 146
131 매복발치후 임플란트 운영자 2026-01-08 221
130 교정중 임플란트는 언제 심을까요? 운영자 2026-01-08 219
129 새우장과 밥도둑 멸치복음을 선물 운영자 2025-12-26 253
128 2025년 불타는 송년회밤~ 운영자 2025-12-18 256
127 " 치과오는길도 즐겁게!! 연수 퍼스트는 벌써 크리스마스 모드up!" 운영자 2025-12-11 312
126 결혼 축하합니다.~~ 운영자 2025-12-11 283
125 연수 퍼스트 치과 워크샵 다녀 왔습니다~~ 운영자 2025-11-24 390
124 감동주의보!!따끈환 고구마로 충전 완료! 운영자 2025-11-13 317
123 수험생 여러분의 멋진 앞날을 응원합니다. 고생 하셨어요~ 운영자 2025-11-13 327
게시판 검색하기
검색